Hanan Faour
Fuhlsbüttler Str. 167
22307 Hamburg
040 - 61 48 00
info@goodent-germany.com
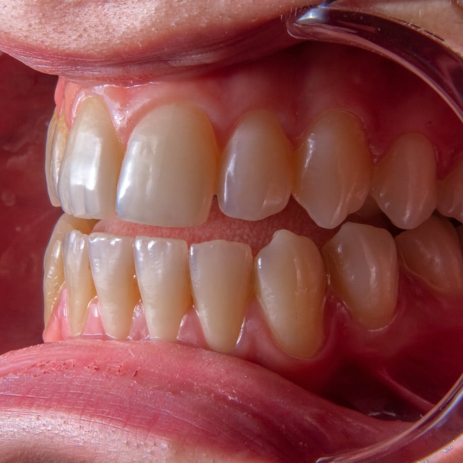
Parodontologie

Der Zahnhalteapparat sorgt dafür, dass Ihre Zähne fest im Kiefer verankert sind. Erkrankungen dieses Systems, wie Zahnfleischentzündungen oder Parodontitis, können nicht nur Zähne gefährden, sondern sich auch negativ auf Ihre allgemeine Gesundheit auswirken. Eine frühzeitige Erkennung und Behandlung ist daher entscheidend, um den Verlust von Zähnen zu verhindern und die Mundgesundheit langfristig zu erhalten.
Warum eine Behandlung wichtig ist
Unbehandelte Zahnfleischentzündungen können sich ausbreiten und den Zahnhalteapparat schwächen. Dies kann zu locker werdenden Zähnen, Zahnverlust und sogar zu erhöhtem Risiko für Herz-Kreislauf-Erkrankungen führen. Daher ist eine regelmäßige Kontrolle und gezielte Therapie entscheidend.
Risikofaktoren: Rauchen und Diabetes
Bestimmte Faktoren erhöhen das Risiko für Parodontitis erheblich:
- Rauchen: Es vermindert die Durchblutung des Zahnfleisches, verschlechtert die Heilung und begünstigt Entzündungen.
- Diabetes: Ungeregelt kann Diabetes Entzündungen verstärken und den Heilungsprozess verlangsamen.
Menschen mit diesen Risikofaktoren sollten besonders auf eine regelmäßige Vorsorge achten.
Moderne Behandlungsmethoden
In unserer Praxis setzen wir auf fortschrittliche, schonende Therapien, um Zahnfleisch und Zahnhalteapparat zu schützen:
- Mikrobiologische Untersuchungen: Wir analysieren gezielt die Bakterien in Ihrem Mund, um die Behandlung individuell anzupassen.
- PerioChip ist ein antibiotikafreier Matrix-Chip mit dem Wirkstoff Chlorhexidin, der zur unterstützenden Behandlung von Parodontitis eingesetzt wird. Der dünne Gelatine-Chip wird direkt in die Zahnfleischtasche eingelegt, löst sich dort über sieben Tage auf und gibt dabei kontinuierlich Chlorhexidin ab, um die für Parodontitis verantwortlichen Keime zu reduzieren.
Parodontale & ästhetische Chirurgie (Rot-Weiß-Ästhetik)
Für ein harmonisches Lächeln spielt nicht nur der Zahn, sondern auch das Zahnfleisch eine zentrale Rolle. Mit modernen Techniken stellen wir die natürliche Balance zwischen „Rot“ (Zahnfleisch) und „Weiß“ (Zähne) wieder her.
- Gingivektomie
Chirurgische Entfernung überschüssigen oder entzündeten Zahnfleisches, z. B. bei Zahnfleischwucherungen, asymmetrischem Zahnfleischverlauf oder ästhetischen Korrekturen im Frontzahnbereich. - Freies Schleimhauttransplantat
Ein schonend entnommenes Gewebestück aus der Mundschleimhaut stärkt das Zahnfleisch, verbreitert die befestigte Gingiva und schützt freiliegende Zahnhälse. - Bindegewebstransplantat (CTG)
Die Goldstandard-Methode zur Behandlung von Zahnfleischrückgang (Rezessionen) – ideal zur Wiederherstellung einer natürlichen Zahnfleischkontur und Verbesserung der Ästhetik im sichtbaren Bereich.
Ihre Vorteile
- Schutz und Stabilität Ihres Zahnhalteapparates
- Frühzeitige Erkennung von Entzündungen
- Individuelle, risikofaktororientierte Behandlung
- Schonende, moderne Therapie für gesunde Zähne und Zahnfleisch
- Erhalt Ihrer natürlichen Zähne und Ihres Lächelns
Sanfte und professionelle Betreuung
Wir beraten Sie ausführlich und erstellen ein individuelles Behandlungskonzept, das Ihre Bedürfnisse berücksichtigt. Mit modernen Diagnose- und Therapieverfahren sorgen wir dafür, dass Ihre Zähne und Ihr Zahnhalteapparat langfristig gesund bleiben. Ihr Wohlbefinden und ein starkes, gesundes Lächeln stehen bei uns an erster Stelle.
So erreichen Sie uns
Zahnarztpraxis
GooDent - Hanan Faour
Fuhlsbüttler Str. 167
22307 Hamburg
Sprechzeiten
Mo. |
7:45 - 13:00 |
13:30 - 16:00 |
Di. |
7:45 - 13:00 |
14:00 - 18:00 |
Mi. |
7:45 - 14:00 |
|
Do. |
7:45 - 13:00 |
14:00 - 18:00 |
Fr. |
7:45 - 12:00 |