Hanan Faour
Fuhlsbüttler Str. 167
22307 Hamburg
040 - 61 48 00
info@goodent-germany.com
Konservative Zahnbehandlung

Die konservative Zahnbehandlung hat ein Ziel: Ihre natürlichen Zähne so lange wie möglich zu erhalten. Durch gezielte Maßnahmen lassen sich kariöse Stellen, Abnutzungen oder kleinere Defekte schonend behandeln, ohne dass größere Eingriffe notwendig werden. So bleibt Ihr Zahn gesund, stabil und funktional.
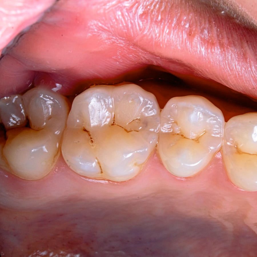
Füllungen – Metallfrei und langlebig
Für die Behandlung von Karies setzen wir auf moderne, metallfreie Füllungen aus hochwertigen Kunststoffmaterialien. Diese Füllungen werden direkt in unserer Praxis eingesetzt und sind nicht nur funktional, sondern auch ästhetisch ansprechend, da sie sich farblich optimal in Ihre natürlichen Zähne einfügen.
Neben direkten Füllungen bieten wir Keramikfüllungen wie Inlays, Onlays oder Overlays an, die im Labor individuell hergestellt werden. Sie zeichnen sich durch hohe Stabilität, Langlebigkeit und ein besonders natürliches Aussehen aus. Keramikfüllungen sind ideal, wenn größere Zahndefekte bestehen oder die Belastung im Backenzahnbereich hoch ist.
Wurzelkanalbehandlung – Modern und schonend
Ist der Zahn tief von Karies betroffen oder entzündet, kann eine Wurzelkanalbehandlung notwendig sein. Dank modernen maschinellen Instrumenten und Techniken lässt sich die Behandlung heute sehr präzise, effektiv und schonend durchführen. Ziel ist es, entzündetes Gewebe im Wurzelkanal zu entfernen, den Zahn zu erhalten und Schmerzen zu vermeiden.
Durch die Kombination aus sorgfältiger Diagnose, modernen Instrumenten und schonenden Behandlungsmethoden können wir Ihre Zähne langfristig erhalten und die Notwendigkeit größerer Eingriffe minimieren.
Ihre Vorteile auf einen Blick
- Erhalt der natürlichen Zähne
- Ästhetische, metallfreie Füllungen direkt in der Praxis
- Individuell gefertigte Keramikfüllungen (Inlay, Onlay, Overlay)
- Schonende und präzise Wurzelkanalbehandlung mit modernen Techniken
- Langfristige Stabilität und Funktion Ihrer Zähne
Sanfte und professionelle Betreuung
In unserer Praxis legen wir großen Wert auf schonende, patientenfreundliche Behandlungen. Wir erklären jeden Schritt verständlich, gehen auf Ihre Wünsche ein und sorgen dafür, dass Ihre Zähne gesund bleiben. Ihr Wohlbefinden und Ihr natürliches Lächeln stehen bei uns an erster Stelle.
So erreichen Sie uns
Zahnarztpraxis
GooDent - Hanan Faour
Fuhlsbüttler Str. 167
22307 Hamburg
Sprechzeiten
Mo. |
7:45 - 13:00 |
13:30 - 16:00 |
Di. |
7:45 - 13:00 |
14:00 - 18:00 |
Mi. |
7:45 - 14:00 |
|
Do. |
7:45 - 13:00 |
14:00 - 18:00 |
Fr. |
7:45 - 12:00 |